Gallery
Pure Dental Studio & Orthodontics
Glimpse Into Compassionate, Comprehensive Care
At Pure Dental Studio & Orthodontics in Houston, TX, we’re proud to offer a welcoming space where patients of all ages — starting at age 3 — receive thoughtful, high-quality dental care. Whether you're visiting for a routine checkup, seeking urgent treatment, or managing dental anxiety, our team is here to support you with compassion and expertise. Check out some of our work below, then request an appointment with us to discuss your dental needs.
Tooth-Colored Fillings
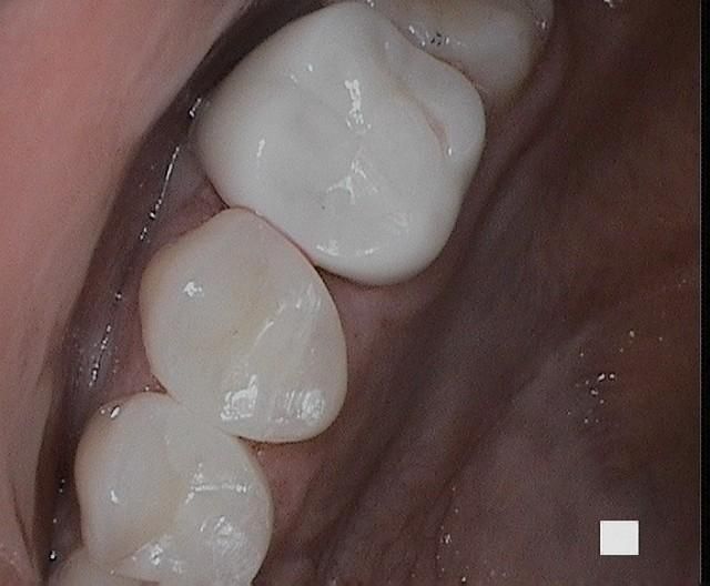
You may have noticed the crown on the big molar. Did you catch the big fillings on the teeth next to it? Fillings done right should not look like fillings.

Before

After
Veneers
Childhood trauma broke this left central incisor (the right central, when looking at this photo). Multiple bondings over the years left the tooth looking discolored and a concern when smiling for this patient. We replaced the front two teeth with veneers and now have a great color match and natural-looking teeth.
A broken tooth, a discolored tooth, or a discolored crown can be changed to look very natural with newer technology. If the look of a tooth bothers you, please give us a call!

Before

After

Before

After


Share On: